Prof. Dr. Fickl & Priv.-Doz. Dr. Krug

Klinische Fallbeispiele

Liebe Kolleginnen und Kollegen,

sehr gerne klären wir mit Ihnen spezifische Fragestellungen bei Ihren Patienten. Der wichtigste Aspekt in einer gemeinsamen Zusammenarbeit ist für uns, dass am Ende der Behandlung ein zufriedener Patient durch Sie weiterbetreut wird. Anbei sehen Sie einige Beispiele von erfolgreich behandelten Fällen im jeweiligen Spezialgebiet von Prof. Dr. Fickl und Priv.-Doz. Dr. Krug.

Ausgeprägte gingivale Rezessionen in der Unterkieferfront
6 Monate nach Rezessionsdeckung
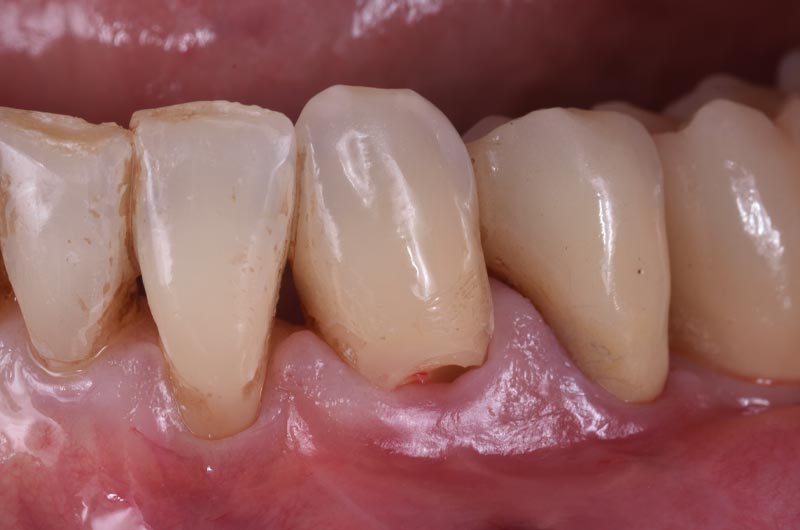
Schwere Parodontitis an den Zähnen 12 und 11
Implantat Regio 11 und Pontic an 12
Ausgeprägte externe Resorption an Zahn 33
Versorgung mit einem Einzelzahnimplantat
Klinische Situation mit einer singulären gingivalen Rezession
2 Jahre nach Rezessionsdeckung
Verfärbter endodontisch behandelter 21
Zahnhartsubstanzschonende Farb- und Formkorrektur mit Komposit
Abradierte Unterkieferfrontzähne
Direkte Restauration mit Komposit
Endodontische Therapie an Zahn 27
2-Jahres-Kontrolle mit gesunden apikalen Strukturen
Überweisung für endodontische Therapie bei interradikulärer Perforation an Zahn 46, Defektdeckung mit MTA und erfolgreicher Zahnerhalt mit 2,5-Jahres-Kontrolle

Publikationen

Prof. Dr. Fickl & Priv.-Doz. Dr. Krug

Mehr erfahren